Биз социалдык тармакта

Египетте ымыркайдын ичинен паразит түйүлдүктү алып салышты

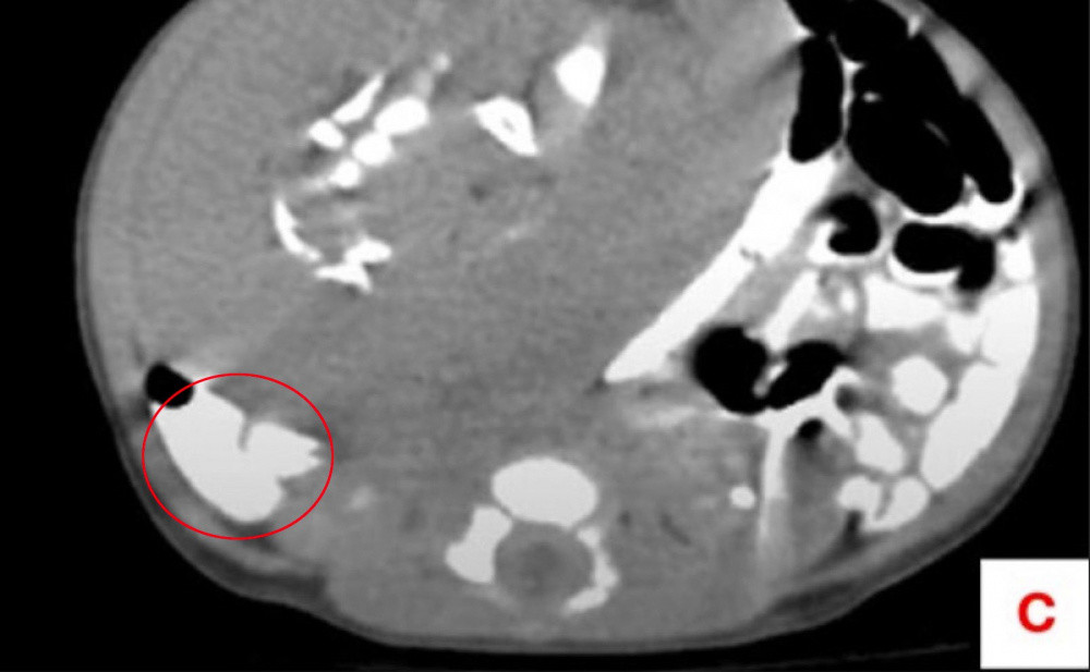
Египетте жаңы төрөлгөн ымыркайдын ичинен толук калыптана элек паразит түйүлдүк аныкталып, дарыгерлер операция жолу менен аны алып чыгышты. Ымыркай төрөттөн 11 күн өткөн соң курсагы чоңоюп кеткендиктен ооруканага жеткирилген. Бул тууралуу чет элдик басылмалар жазышты.

Маалым болгондой, текшерүү убагында анын курсагында 8х6 сантиметрдей белгисиз масса бар экендигин көрсөткөн. Паразит түйүлдүк ымыркайдын кан тамыры аркылуу азыктанганы аныкталган.

Хирургдар боордун жанынан табылган бул паразит түйүлдүктү ийгиликтүү алып чыгышкан. Медициналык изилдөөдө анын ичинде май ткандары, эки бутка окшош мүчө, териси жана ичеги сыяктуу толук калыптанган бөлүктөр болгондугу аныкталды.

РУБРИКАДАГЫ СОҢКУ КАБАРЛАР
Архив
Комментарийлер (0)
БАШКЫ БЕТ
СОҢКУ КАБАР
СУПЕР-ИНФО
SUPER.KG ВИДЕО
МЕДИА-ПОРТАЛ
Кинозал
ЖЫЛНААМА
Суперстан