Биз социалдык тармакта

Жаңы Зеландияда 13 жаштагы бала 200дөй магнит жутуп, ичегисинин бир бөлүгүнөн ажырады

Жаңы Зеландиянын Тауранга шаарындагы ооруканада 13 жаштагы балага 200гө жакын күчтүү неодим магниттерди жутуп алганы үчүн операция жасалды. Ал башында дарыгерлерге 100 чакты магнит жутканын айткан, бирок операция маалында алардын саны эки эсе көп экени аныкталган. Бул тууралуу чет элдик басылмалар жазышты.

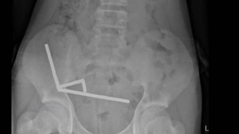
Маалым болгондой, рентген сүрөттөрүндө баланын ичегисинде төрт башка жерде чынжыр сыяктуу тизилген металлдар көрүлгөн. Алар бири-бирине жабышып, ичеги ткандарында кан айланууну токтотуп, "басым некрозу" деп аталган ткандардын өлүшүнө себеп болгон. Дарыгерлер ичегинин жабыркаган бөлүгүн кесүүгө аргасыз болушкан. Бала сегиз күндөн кийин үйүнө чыгарылган.

Адистердин айтымында, бул окуя күчтүү магниттердин өтө кооптуу экенин далилдейт. Жаңы Зеландия басылмалары ушул сыяктуу оюнчуктар 2013-жылдан бери өлкөдө тыюу салынганына карабастан, интернет дүкөндөрдө дагы эле сатылып жатканын кошумчалашты.

РУБРИКАДАГЫ СОҢКУ КАБАРЛАР
Архив
Комментарийлер (0)
БАШКЫ БЕТ
СОҢКУ КАБАР
СУПЕР-ИНФО
SUPER.KG ВИДЕО
МЕДИА-ПОРТАЛ
Кинозал
ЖЫЛНААМА
Суперстан