Биз социалдык тармакта

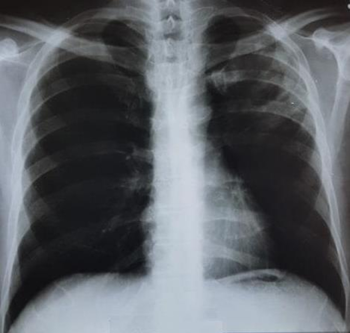
Бишкек шаарындагы мугалимден кургак учуктун ачык түрү аныкталды

Бишкек шаарындагы №37 мектептин математика мугалиминен кургак учуктун ачык түрү аныкталды. Бул тууралуу окуучулардын ата-энелери 24.kg агенттигине кабарлаган.

Маалыматка ылайык, азыркы учурда окуу жай жабылган жок. Окуучулар жана башка мугалимдер дарыгердин көзөмөлүнөн өтүүдө. Ошондой эле мектепте санитардык-дезинфекциялык иштери жүргүзүлдү.

Мектеп директору Динара Атантаеванын билдиришинче, биринчи кезекте оорулуу мугалим иштеген бөлмөлөр дезинфекция жүргүзүлдү. Андан соң башка класстар, мугалимдер бөлмөсү жана коридор менен тепкичтер тазаланды. Мындан тышкары, мектепте үзгүлтүксүз желдетүү жүргүзүлүп жатат.

РУБРИКАДАГЫ СОҢКУ КАБАРЛАР
Архив
Комментарийлер (0)
БАШКЫ БЕТ
СОҢКУ КАБАР
СУПЕР-ИНФО
SUPER.KG ВИДЕО
МЕДИА-ПОРТАЛ
Кинозал
ЖЫЛНААМА
Суперстан