Биз социалдык тармакта

Бишкекте 8 жаштагы кыздын мээсине татаал операция жасалып, бир тутам чач алынды (сүрөт)

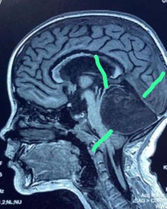
Бишкекте Эне жана баланы коргоо улуттук борборунун нейрохирургия бөлүмүндө мээге татаал операция жасалды. Бул тууралуу бүгүн, 11-апрелде Саламаттык сактоо министрлигинен билдиришти.

Маалымдалгандай, Жалал-Абад облусунун 8 жаштагы тургунуна баш мээнин 4-карынчасынын түбүндө чоң шишик (тератома) бар деген диагноз коюлган.

"Мээнин 4-карынчасынын түбүндөгү шишикти - тератоманы алып салуу операциясы ийгиликтүү өттү. Тератоманын ичинде бир тутам чач болгон, ал болжол менен бала төрөлгөндөн тартып ооруканага кайрылганга чейин өсүп келген", - деп айтылат маалыматта.

Операцияга Улуттук илимдер академиясынын академиги, профессор Миталип Мамытов жана кафедра башчысы Бакыт Карачев баштаган нейрохирургия бөлүмүнүн дарыгерлери катышкан.

РУБРИКАДАГЫ СОҢКУ КАБАРЛАР
Архив
Комментарийлер (0)
БАШКЫ БЕТ
СОҢКУ КАБАР
СУПЕР-ИНФО
SUPER.KG ВИДЕО
МЕДИА-ПОРТАЛ
Кинозал
ЖЫЛНААМА
Суперстан