Биз социалдык тармакта

"Бул оору көбөйүп жатат". Балдар дарыгери ата-энелерге кайрылды

Балдарды бир жылда эки жолу дарыгерлерге текшертип туруу керек. Мындай пикирин балдар хирургу Калыбек Мыкыев социалдык тармактагы баракчасына бөлүшүп, ата-энелерге кайрылды.

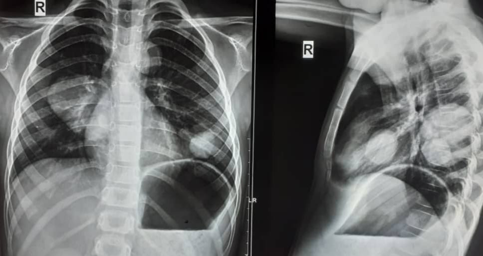
"6 жаштагы бала эч жери оорубай, кокустан көкүрөгү кыйшык болуп ортопед дарыгерге кайрылышат. Рентгенге тартса эки өпкөсүнөн, анан боорунда эхинококкоз оорусу чыгат. Кээде чоңоюп жарылып кетиши мүмкүн. Ошон үчүн балдарыңарды жылына 2 жолудан текшертип тургула. Бул оору азайбай эле, көбөйүп жатат. Кээде жарылып, өтө чоң болгондо, же ириңдегенде кайрылып жатышат", - деп жазган дарыгер.
Акыркы кезде балдар арасында көп катталып жаткан оорулар тууралуу маекти шилтеме аркылуу окуй аласыз.
РУБРИКАДАГЫ СОҢКУ КАБАРЛАР
Архив
Комментарийлер (0)
БАШКЫ БЕТ
СОҢКУ КАБАР
СУПЕР-ИНФО
SUPER.KG ВИДЕО
МЕДИА-ПОРТАЛ
Кинозал
ЖЫЛНААМА
Суперстан